Syngo fastView — удобная программа для просмотра КТ изображений (файлов DICOM) на вашем компьютере, разработанная компанией Siemens. Она предназначена для просмотра файлов исследований пациентами, поэтому адаптирована для обычных пользователей. Программа позволяет просматривать посрезовые томограммы внутренних органов, костей, сосудов.
DICOM — это специальный формат изображений КТ, МРТ, УЗИ и некоторых других медицинских обследований. Название DICOM расшифровывается как Digital Imaging and Communications in Medicine, что переводится как «Цифровая визуализация и связь в медицине».
Такие изображения содержат много дополнительной информации, поэтому их нельзя открыть на компьютере встроенными в ОС просмотрщиками, как обычные файлы изображений — JPEG, JPG или PNG.
DICOM — это специальный формат изображений КТ, МРТ, УЗИ и некоторых других медицинских обследований. Название DICOM расшифровывается как Digital Imaging and Communications in Medicine, что переводится как «Цифровая визуализация и связь в медицине».
Такие изображения содержат много дополнительной информации, поэтому их нельзя открыть на компьютере встроенными в ОС просмотрщиками, как обычные файлы изображений — JPEG, JPG или PNG.
Чтобы открыть медицинские изображения DICOM, необходима специальная программа-просмотрщик, или вьювер (от англ. «view» — смотреть, осматривать). Пациенты центра КТ «Ами» сразу после прохождения томографии получают DVD-диск или USB-флешку с записанными на них результатами исследования и такой программой-вьювером — Syngo fastView (Синго фастВью).
В программе есть встроенные инструменты: мультипланарная реконструкция (режим для просмотра изображения сразу в трех проекциях), линейка для измерения расстояния между объектами на изображении, предустановленные фильтры для лучшей визуализации деталей.
Из подробной инструкции в этой статье вы узнаете, как открывать и просматривать КТ-изображения DICOM через Syngo fastView, если вы пользователь операционной системы Windows.*
* Если у вас другая операционная система, самостоятельно скачайте подходящую бесплатную программу для просмотра DICOM-файлов. Например: OsiriX DICOM Viewer для Mac OS, Amide и Aeskulap Viewer для Linux. О возможностях выбранной вами программы читайте на сайте разработчика.
На данный момент программа Syngo fastView не переведена на русский язык, но благодаря этой инструкции знание английского языка для успешного использования Syngo fastView не понадобится.
Syngo fastView: инструкция для пациентов
Узнайте, как запустить программу c DVD-диска
Узнайте, как запустить программу c USB-флешки
Открывайте КТ-изображения на компьютере
Познакомьтесь с главным окном программы Syngo fastView
Узнайте, как просматривать изображения DICOM через Syngo fastView
Загружайте полноразмерные изображения для просмотра
Используйте все возможности Меню вкладок
Просматривайте КТ-изображения в удобном для вас режиме
Просматривайте КТ-изображения сразу в нескольких проекциях
Просматривайте изображения в режиме видео
Смотрите детально
Изменяйте яркость и контрастность вручную
Используйте предустановленные настройки яркости и контрастности
Используйте дополнительные инструменты
Измеряйте расстояние на изображении
Используйте режим увеличения: Увеличительное стекло
Используйте режим увеличения: Область захвата
Скрывайте служебную информация на изображении
Работайте со вкладкой «Image»: изменяйте размер и положение изображения
Используйте дополнительные функции для работы с изображениями
Заменяйте цвета на изображении
Инвертируйте цвета на КТ-изображении
Поворачивайте изображение, как вам удобно
Сохраняйте DICOM-изображения в удобном формате
Выводите КТ-изображения на печать
Обратите внимание
Syngo fastView: инструкция для пациентов
Syngo fastView не требует установки. Достаточно запустить на компьютере диск или открыть флешку, которые вы получили в медицинском центре.
Узнайте, как запустить программу программу c DVD-диска
Запустить программу с диска можно несколькими способами. Убедитесь, что ваш дисковод работает с DVD-дисками. Вставьте в дисковод диск с исследованием.
1. Дождитесь, когда появится всплывающее окно, нажмите на него один раз левой клавишей мыши:
Появится еще одно всплывающее окно, выберите в нем пункт «Выполнить autorun.exe»:
2. Если всплывающее окно из пункта 1. не появилось или появилось и исчезло, откройте на компьютере любую папку и в левом боковом меню выберите пункт «дисковод». Обратите внимание, ваш дисковод может называться по-другому, например, «DVD R дисковод (D:)», но в его названии обязательно будет слово «дисковод» (или «drive», если вы пользуетесь Windows на английском языке):
Нажмите на этот пункт меню один раз левой клавишей мыши, в правом окне выберите строку «AUTORUN.EXE», нажмите на нее дважды левой клавишей мыши:
3. Если в левом меню нет пункта со словом «дисковод» (или «drive», выберите пункт «Этот компьютер» («Computer»), нажмите на него один раз левой клавишей мыши:
В окне справа выберите ваш дисковод, нажмите на него два раза левой клавишей мыши:
Далее выберите строку «AUTORUN.EXE», нажмите на него дважды левой клавишей мыши:
Выполнение любого из трех пунктов приведет вас к появлению всплывающего окна программы. Нажмите «OK» и дождитесь загрузки программы:
Узнайте, как запустить программу c USB-флешки
Если вы получили исследование на USB-флешке, вам не нужно специальное оборудование для просмотра изображений. Вставьте флешку в свободный USB-порт на вашем компьютере и следуйте инструкции ниже.
1. Чаще всего флешка определяется и открывается автоматически. Вы увидите папку с названием «1». Зайдите в нее. Там вы найдете файлы программы и исследований. Выберите файл «autorun.exe», нажмите на него дважды левой клавишей мыши:
2. Если флешка не открылась автоматически, откройте любую папку на компьютере, в левом меню найдите пункт «Мой компьютер» (или «Computer», если вы используете ОС Windows на английском языке). Нажмите на него один раз левой клавишей мыши. В правом окне среди устройств и дисков найдите флешку с результатами исследования, нажмите на ее обозначение дважды левой клавишей мыши:
Вы увидите папку с названием «1». Зайдите в нее. Там вы найдете файлы программы и исследований. Выберите файл «autorun.exe», нажмите на него дважды левой клавишей мыши.
3. Если в одном из предыдущих пунктов при нажатии на файл «autorun.exe» программа не запускается, зайдите в папку «syngo_fV», пролистайте в ней файлы до конца, найдите файл «syngo_fV.exe», нажмите на него дважды левой клавишей мыши:
Следование данной инструкции должно привести вас к появлению всплывающего окна программы. Нажмите «OK» и дождитесь загрузки программы.
Открывайте КТ-изображения на компьютере
Когда программа загрузится, автоматически откроется два окна:
1 — Syngo fastView — главное окно программы (по умолчанию открывается на весь экран);
2 — fastView Browser — окно встроенного браузера (загрузчика) файлов с исследованиями.
Если окно fastView Browser c файлами исследования не открылось, в левом верхнем углу окна Syngo fastView нажмите: «Patient» → «Open Patient Browser» (Пациент → Открыть браузер пациента).
В открывшемся окне в разделе «Source» (Источник) нажмите на прямоугольник с тремя точками:
Шаг 1: В открывшемся всплывающем окне найдите папку DICOM под строкой со словом «дисковод» или «drive» (а если вы получили результаты исследования на USB-флешке, то найдите аналогичную папку на флешке) и выделите ее одним нажатием левой клавиши мыши. Открывать папку не нужно. Шаг 2: Нажмите кнопку «Add» (Добавить).
Познакомьтесь с главным окном программы Syngo fastView
Главное окно содержит следующие элементы:
1 — Главное меню
2 — Окно отображения изображения
3 — Информационное поле пациента
4 — Меню вкладок
5 — Строка состояния
Узнайте, как просматривать изображения DICOM через Syngo fastView
DICOM-файл в компьютерной томографии — это, чаще всего, не одно изображение, а серия последовательных сканов, которые во время исследования делает томограф. Количество сканов для каждого исследования может отличаться и зависит от специальных медико-диагностических протоколов.
Серии сканов загрузятся в ячейки окна браузера fastView Browser. Вы можете выбрать нужную серию, выделив ячейку с ней одним щелчком левой клавиши мыши (она подсветится синим контуром (1)), и увидеть в разделе Information (информация), сколько изображений содержится в данной серии (2):
Теперь можно открыть серию из любой ячейки, щелкнув по ней дважды левой клавиши мыши.
Дождитесь полной загрузки. Изображения в КТ-исследованиях делаются в высоком разрешении, поэтому файлы имеют большой объем. Это влияет на скорость загрузки. В зависимости от количества изображений в серии, загрузка может занять от нескольких секунд до нескольких минут. На состояние загрузки указывает параметр «Loading» (Загрузка), расположенный над Меню вкладок — визуальная шкала загрузки и количество загруженных и оставшихся изображений в серии:
Когда загрузка завершится, результат будет представлять собой непрерывную последовательность посрезовых томограмм загруженной серии. Вращайте колесико мыши вперед или назад в режиме просмотра, чтобы увидеть все изображения. При плавной прокрутке такая последовательность выглядит как видеофильм:
В программе по умолчанию выбран режим просмотра одной серии изображений в одном окне. Если данный режим не активирован, нажмите на вкладку с надписью «View» (Просмотр) в Меню вкладок и выберите верхнюю левую иконку, изображающую одну голову в квадратной рамке:
Чтобы вернуться в fastView Browser и открыть другое исследование:
1) кликните на иконку с тремя папками в разделе «Patient» в Меню вкладок:
2) или нажмите «Patient» в Главном меню, далее выберите «Open Patient Browser»:
3) или нажмите на клавиатуре Ctrl + O (Латинская буква О)
Если вы планируете возвращаться к просмотру одних и тех же серий, загруженных на диск или флешку, лучше открыть в Syngo fastView все снимки сразу. Для этого откройте fastView Browser и нажмите на кнопку «Open Study» (Открыть исследование):
Чтобы загрузились все изображения, может потребоваться более десяти минут. Прогресс загрузки будет виден в загрузочной строке над Меню вкладок:
После загрузки вы увидите все серии изображений в прямоугольных ячейках в Окне отображения изображения:
Загружайте полноразмерные изображения для просмотра
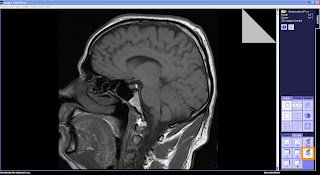
Теперь выберите ячейку с нужной серией и дважды щелкните по ней левой клавишей мыши. Двойной щелчок мыши активирует режим «Blow Up» (Увеличить) — все изображения серии откроются в Окне отображения изображения. Просматривайте их, вращая колесо мыши.
При просмотре изображений любой серии, в верхнем правом углу Окна отображения изображения будут два треугольника, составляющих квадрат. Если оба треугольника черные — на экране первое изображение серии:
Если оба треугольника светло-серые — это последнее изображение серии:
Если один из треугольников серый, а другой черный — это изображения внутри серии:
Если вы долистаете до конца все изображения одной серии и продолжить вращать колесо мыши, то автоматически перейдете к просмотру изображений следующей серии, если только эта серия не последняя во всем исследовании.
Выйти из режима «Blow Up» можно также двойным щелчком мыши внутри Окна отображения изображения — так вы вернетесь к возможности выбрать изображения другой серии, не дожидаясь их повторной загрузки:
Используйте все возможности Меню вкладок
Просматривайте КТ-изображения в удобном для вас режиме
Во вкладке «View» можно выбрать разные режимы просмотра. Для изображений компьютерной томографии возможности двух первых режимов «Stake» (1) и «Stripe» (2) совпадают.
Режим «Stripe» нужен, если некоторые изображения серии сами представляют собой серию (такое возможно в других видах диагностики, например, при УЗИ). Единственное отличие этих режимов при просмотре результатов КТ — наличие бегунка скролла в режиме «Stripe» (2). Вы можете потянуть за него, наведя на него курсор и зажав левую клавишу мыши.
Также, находясь в режиме «Stripe», вы можете открыть изображения серии сразу в двух или четырех окнах. Для этого проверьте, что вы находитесь в режиме «Stripe» (иконка с изображением трех кадров должна быть подсвечена), затем на той же вкладке «View» выберите иконку, на которой изображены два прямоугольника или четыре квадрата.
В примере выбрана иконка с четырьмя квадратами. Окно отображения изображения будет выглядеть так:
Обратите внимание, в четырех маленьких окнах будут открыты четыре последовательных изображения серии, например, в верхнем левом окне будет открыт 58-й кадр, в верхнем правом — 59-й, в нижнем левом — 60-й, в нижнем правом — 61-й.
Чтобы открыть любое из этих изображений на весь экран, щелкните по нему дважды левой клавишей мыши. Двойной щелчок левой клавишей мыши по увеличенному изображению вернет вас к окну с четырьмя изображениями (или двумя, если вы выбрали режим показа двух изображений).
Также можно настроить отображение в 9 или 16 ячейках. Для этого зайдите в пункт «View» главного меню и выберите нужный вариант показа:
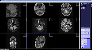
Просматривайте КТ-изображения сразу в нескольких проекциях
Чтобы перейти в режим просмотра изображений выбранной серии сразу в трех проекциях, убедитесь, что включен один из режимов, когда одна серия изображений раскрыта на все окно: «Blow up», «Stake» или «Stripe». Нажмите на иконку «3D MPR» во вкладке «View», либо откройте Главное меню и выберите «View» → «3D MPR».
«MPR» — мультипланарная реконструкция — это отображение на одном экране трех ортогональных (перпендикулярных друг другу) проекций (сечений): аксиальной, фронтальной (или корональной) и сагиттальной.
«MPR» — мультипланарная реконструкция — это отображение на одном экране трех ортогональных (перпендикулярных друг другу) проекций (сечений): аксиальной, фронтальной (или корональной) и сагиттальной.
В открывшемся окне будет три ячейки с разными проекциями и ячейка с моделью человека. Эта модель окружена тремя рамками разного цвета. Если присмотреться, можно увидеть, что каждая из ячеек с КТ-изображениями также имеет цветную рамку, соответствующую рамке на модели. Так вы поймете, какая именно проекция располагается в каждой из ячеек.
Наведите курсор на одну из осей или на перекрестье двух осей в одной из трех ячеек с изображениями КТ и зажмите левую клавишу мыши. Теперь перетаскивайте выбранную ось или перекрестье осей внутри ячейки и смотрите, как меняются изображения в двух других ячейках. Если изображение в одной или двух ячейках исчезло, значит курсор находится вне изображения в выбранной ячейке.
Вы также можете активировать режим увеличения «Blow Up» двойным щелчком мыши по тому изображению в любой из трех ячеек, которое хотите рассмотреть детально.
Внутри режима увеличения, как и при обычном просмотре, можно листать изображения колесиком мышки. При этом на изображении останутся оси. Их можно подвести к нужному месту на увеличенном изображении.
После того, как вы завершите просмотр и при необходимости передвинете оси в интересующее положение, щелкните два раза по увеличенному изображению. Так вы снова перейдете к режиму просмотра в трех проекциях.
Теперь изображения в двух оставшихся ячейках будут открыты в соответствии с положениями осей, которые были установлены в режиме «Blow Up».
Чтобы выйти из режима просмотра в трех проекциях, нажмите еще раз на иконку «3D MPR» во вкладке «View»:
Просматривайте исследования в режиме видео
Чтобы не вращать колесо мыши для перелистывания изображений, включите режим видео-просмотра. Для этого выберите вкладку «Scroll» (прокрутка) в Меню вкладок (1), затем нажмите на иконку с рисунком камеры с подписью «auto» (2):
В данном режиме будет открыто Окно контроля просмотра (Movie control), где можно настроить скорость показа, выбрав частоту кадров от 1 до 60 в секунду (1). Также можно листать изображения покадрово (7), поставить просмотр на паузу (2), зациклить его (после последнего кадра будет снова показан первый) (5) или запустить в обратную сторону (после последнего кадра будет показан предпоследний, затем пред-предпоследний и так далее к первому кадру) (6).
Вы можете остановить просмотр (3), не выходя из данного режима (окно контроля просмотра остается открытым, но будет возможно листать изображения, вращая колесо мыши или используя стрелки (7)). Также можно закрыть Окно контроля просмотра, нажав кнопку «Close» (4) и выйти из режима видео-просмотра.
Если вы данном режиме вы наведете курсор на КТ-изображение и щелкнете левой клавишей мыши, просмотр остановится. Чтобы возобновить его, нажмите на кнопку «Play» (►):
Если во вкладке «Scroll» выбрать иконку с рисунком камеры и изображением ладони, будет активирован интерактивный режим. В нем можно перелистывать изображения, зажав левую клавишу мыши и двигая курсор вверх и вниз в Окне отображения изображения. Обратите внимание, в интерактивном режиме курсор будет выглядеть иначе (со значком камеры возле стрелки), а в Строке состояния будет надпись, что это режим Interactive Movie:
Во вкладке «Scroll» есть и другие иконки, позволяющие удобнее перелистывать изображения серии.
Так, нажатием кнопок 1 и 2 можно листать изображения назад или вперед по одному, кнопки 3 и 4 позволяют перелистывать серии, если загружены несколько серий сразу. Кнопка 5 поможет перейти к первому изображению первой загруженной серии, кнопка 6 — к последнему изображению последней загруженной серии.
Смотрите детально
В программе Syngo fastView есть функции, созданных для более информативного просмотра исследований.
Изменяйте яркость и контрастность вручную
Одна из таких функций — «Windowing». Эта важная функция позволяет более четко отображать детали. Чтобы включить режим «Windowing», нажмите иконку с ладонью и значком яркости и контрастности.
Затем наведите курсор на Окно отображения изображения, зажмите левую клавишу мыши и двигайте курсор вверх или вниз по монитору в рамках Окна отображения. Движение курсора вверх будет осветлять изображение, вниз — затемнять. Алгоритм программы изменяет одновременно и яркость, и контрастность картинки.
Также вы можете использовать эту функцию, не включая режим «Windowing» — просто наведите курсор на Окно отображения изображения, зажмите колесико мышки и двигайте курсор вверх или вниз по монитору в рамках Окна отображения.
На иллюстрации ниже видно, как при использовании данной функции на скане КТ лучше детализированы те или иные фрагменты. На изображении 3 наблюдается костное тело позвонка, тогда как настройки на изображении 2 позволяют увидеть состояние легочной ткани.
Измененные вручную настройки яркости и контрастности всегда можно вернуть в исходное положение. Для этого в Меню вкладок выберите вкладку «Image». В этой вкладке нажмите на иконку с цифрой 1:
Используйте предустановленные настройки яркости и контрастности
В программе есть предустановки яркости и контрастности — режим «Windowing» в них настроен так, чтобы без дополнительных манипуляций можно было лучше увидеть ткани легких, костей, мозга и т.д.
Чтобы применить нужный предустановленный фильтр, выберите пункт «Image» в главном меню, далее выберите пункт «Predefined Windowing». В этом пункте выберите интересующий фильтр:
Abdomen — Брюшная полость
Bone — Кости
Cerebrum — Головной мозг
Liver — Печень
Lungs — Легкие
Pelvis — Малый таз
Mediastinum — Средостение
Abdomen — Брюшная полость
Bone — Кости
Cerebrum — Головной мозг
Liver — Печень
Lungs — Легкие
Pelvis — Малый таз
Mediastinum — Средостение
В данном случае мы выбрали настройки для просмотра легких — Lungs:
Изменение настроек яркости и контрастности с помощью предустановленных фильтров также можно вернуть в исходное положение,выбрав вкладку «Image»и нажав в этой вкладке на иконку с цифрой 1:
Используйте дополнительные инструменты
В меню вкладок есть вкладка «Tools» (Инструменты) . Она содержит вспомогательные инструменты для работы с изображением:
1 — Distance — Расстояние
2 — Show/Hide Image Text — Включение и выключение текста на изображении
3 — Show/Hide Graphics
4 — Magnifier Glass — Увеличительное стекло
5 — Magic Glass — Волшебное стекло (Область захвата)
6 — Home View — Просмотр по умолчанию
Измеряйте расстояние
Чтобы измерить дистанцию между деталями изображения, выберите иконку с линейкой (1). Наведите курсор на ту точку изображения, от которой хотите начать измерение. Зажмите левую клавишу мыши и ведите курсор к той точке, в которой вы хотите закончить измерение. Когда курсор окажется в нужной позиции, отпустите клавишу мыши. На изображении останется линия, обозначающая кратчайшее расстояние между двумя выбранными точками, дистанция в миллиметрах определится автоматически.
Вы можете на одном изображении измерить сколько угодно расстояний, все они останутся подписанными до того, пока вы не сбросите эти данные:
Чтобы сбросить все измерения, которые были сделаны на изображении, нажмите в Меню вкладок на вкладке «Tools» еще раз на иконку с линейкой, либо на иконку с домиком — просмотр по умолчанию (6).
Используйте режим увеличения: Увеличительное стекло
Чтобы посмотреть детали изображения более крупно, выберите режим увеличительного стекла (4):
Наведите курсор на изображение. Вы увидите, что на месте обычного курсора-стрелки будет квадрат, который работает как лупа. Двигайте эту лупу по изображению, чтобы рассмотреть все детали:
Чтобы отключить режим, нажмите на кнопку с увеличительным стеклом (4) еще раз.
Попробуйте режим увеличения: Область захвата
Чтобы увеличить определенный фрагмента изображения, выберите инструмент «Область захвата» (5). Наведите курсор на то место изображения, где начинается требующий увеличения фрагмент, нажмите левую клавишу мыши и, удерживая ее нажатой, проведите мышью по области, которую хотите увеличить. Появится выделяющий прямоугольник. После того, как вы отпустите мышь, область, которая входит в этот прямоугольник, будет увеличена.
Этим инструментом можно выделить фрагмент на уже увеличенной области и также увеличить его. При увеличении разрешение изображения (количество пикселей на сантиметр) остается прежним, поэтому качество увеличенного изображения будет снижаться.
Чтобы вернуться к просмотру изображения в стандартном размере, нажмите на иконку просмотра по умолчанию (6)
Скрывайте служебную информация на изображении
Вы можете отключить служебную информацию (ФИО и дату рождения пациента, дату и время проведения исследования, данные о контрастности и яркости, и др.) на изображении, например, чтобы сохранить анонимное изображение с примененным фильтром и разметками дистанции на нем. Для этого нажмите на иконку с головой и мерной шкалой (2) в Меню вкладок на вкладке «Tools»:
Работайте со вкладкой «Image»: изменяйте размер и положение изображения, как вам удобно
Еще во вкладке «Image» вы найдете такие инструменты для работы с изображениями:
1 — Pan — Перемещение (Панорамирование)
2 — Zoom — Масштабирование
3 — Magnify by 1.25 — Увеличение до 125%
4 — Magnify by 0.8 — Уменьшение до 80%
5 — Home View — Просмотр по умолчанию
При нажатии на иконку «Magnify by 1.25» (3), изображение будет увеличиваться на 125% от предыдущего значения. Увеличивать картинку можно лишь до определенного предела.
Если увеличенное изображение выходит за пределы видимой области, передвигайте его, чтобы увидеть все части. Для этого используйте инструмент перемещения — нажмите на иконку «Pan». Обратите внимание — курсор изменит вид со стрелки на руку:
Зажмите левую клавишу мыши и перетаскивайте изображение по экрану в любом направлении. Передвигать можно не только увеличенное, но и любого другого размера изображение.
Чтобы уменьшить изображение, нажмите на иконку «Magnify by 0.8» (4) столько раз, сколько необходимо — при каждом нажатии изображение будет уменьшаться до 80% от предыдущего значения.
Еще быстро увеличивать и уменьшать изображения можно при помощи инструмента масштабирования. Для этого нажмите на иконку «Zoom» (2), зажмите левую клавишу мыши и двигайте курсор вверх и вниз в Окне отображения изображения. При движении курсора вверх картинка будет увеличиваться, при движении вниз — уменьшаться.
Чтобы привести изображение к исходному виду после применения любой из функций изменения размера, нажмите иконку с домиком (5):
Зажмите левую клавишу мыши и перетаскивайте изображение по экрану в любом направлении. Передвигать можно не только увеличенное изображение, но и любого другого размера.
Чтобы уменьшить изображение, нажмите на иконку «Magnify by 0.8» (4) столько раз, сколько необходимо — при каждом нажатии изображение будет уменьшаться до 80% от предыдущего значения.
Еще быстро увеличивать и уменьшать изображения можно при помощи инструмента масштабирования. Для этого нажмите на иконку «Zoom» (2), зажмите левую клавишу мыши и двигайте курсор вверх и вниз в Окне отображения изображения. При движении курсора вверх изображение будет увеличиваться, при движении вниз — уменьшаться.
Чтобы привести изображение к исходному виду после применения любой из функций изменения размера, нажмите иконку с домиком (5):
Используйте дополнительные функции для работы с изображениями
Помимо использования всех описанных функций, вы можете повернуть изображение, отразить его зеркально, инвертировать или изменить цвета для лучшего отображения деталей КТ-скана.
Заменяйте цвета на изображении
Для создания псевдоцветного изображения, зайдите во вкладку «Image» в Главном меню. Выберите пункт «Color Lookup Table» (Таблица поиска цветов):
При нажатии на этот пункт появится всплывающее окно. В нем можно выбрать любой из фильтров. При применении фильтра каждый из оттенков серого на изображении приобретет свой новый цвет — это и называется псевдоцветностью. На «раскрашенном» изображении могут быть лучше видны некоторые детали.
Чтобы применить фильтр, выберите его из выпадающего списка. Листайте список колесом мыши, чтобы увидеть все фильтры. Всего их более 60:
После выбора фильтра нажмите кнопку «Apply» (Применить). Цвета на изображении изменятся. Окно останется открытым, будет возможно выбрать другой фильтр и применить его, также нажав кнопку «Apply». Когда подходящий фильтр будет выбран, нажмите кнопку «OK». Окно выбора фильтров закроется.
Ниже примеры получаемых изображений при применении разных фильтров.
Cyclic16:
WarmMetal16:
Rainbow16:
InvertGrayScale16:
Чтобы вернуться к отображению цветов по умолчанию, еще раз выберите пункт «Color Lookup Table» во вкладке «Image». по умолчанию откроется строчка «Original». Нажмите кнопку «OK»:
Инвертируйте цвета на КТ-изображении
Последний фильтр, примененный в примере из предыдущего подраздела этой инструкции, инвертирует цвета на изображении — черный становится белым, а белый — черным. Того же эффекта можно добиться, выбрав пункт меню «Invert Windowing» во вкладке «Image» Главного меню. Чтобы отменить инвертирование и привести изображение к виду по умолчанию, выберите этот пункт меню еще раз и снова нажмите на него.
Поворачивайте изображение, как вам удобно
Чтобы повернуть изображение на 90°, зайдите во вкладку «Image» в Главном меню. Выберите пункт «Rotate 90+». При нажатии на него изображение повернется на 90° по часовой стрелке. При нажатии на пункт «Rotate 90−» изображение повернется на 90° против часовой стрелки.
Чтобы зеркально отразить КТ-изображение по вертикальной оси, выберите во вкладке «Image» пункт меню «Mirror» (Зеркало). Для зеркального отражения по горизонтальной оси выберите пункт «Flip».
Чтобы отменить любые изменения, которые были внесены во вкладке «Image», выберите пункт меню «Home View»:
Сохраняйте DICOM-изображения в удобном формате
С помощью Syngo fastView вы можете сохранять изображения из файлов DICOM в другие, более привычных форматах: JPEG (обычное изображение) или BMP (точечный рисунок). Для этого выберите в главном меню вкладку «Patient», а в ней пункт «Save as…» (Сохранить как):
Во всплывающем окне выберите тип файла в выпадающем меню (JPEG или Bitmap (BMP)), выберите папку на компьютере, в которую будет сохранено изображение, нажмите «Сохранить»:
Изображение сохранится со служебной информацией. Чтобы сохранить только картинку, без данных на ней, перед сохранением нажмите на иконку «Show/Hide Image Text» см. пункт «Скрывайте служебную информация на изображении»
Выводите КТ-изображения на печать
Чтобы напечатать изображение напрямую из программы Syngo fastView, выберите пункт этого выберите в Главном меню вкладку «Patient», в ней — пункт «Print» (Печать). Либо выберите в Меню вкладок иконку с принтером:
В открывшемся окне выберите ваш принтер (предварительно убедитесь, что он подключен к компьютеру и настроен), затем нажмите «ОК». Будет напечатано то изображение, которое в данный момент открыто в Окне отображения изображения, то есть если выбрана мультипланарная реконструкция, будут напечатаны три КТ-изображения, трехмерная модель и все оси в том положении, как их расставили.
Чтобы напечатать изображение без служебной информации на нем, перед печатью нажмите на иконку «Show/Hide Image Text» см. пункт «Скрывайте служебную информация на изображении»
Обратите внимание
Программа Syngo fastView — это программа только для просмотра медицинских изображений. Любые изменения, внесенные в файлы через эту программу, не будут сохранены. При следующей загрузке изображения будут в том же виде, как и в тот момент, когда их записали на диск в медицинском центре.
После извлечения диска из дисковода или флешки из USB-порта программа Syngo fastView не будет продолжать работу на вашем компьютере.
Если вы хотите отправить КТ-исследование лечащему врачу через интернет (письмом на электронную почту или сообщением в мессенджер), наша подробная инструкция по отправке поможет вам в этом >>
Вернуться к меню
Скачайте последнюю версию программы syngo fastView, например,
здесь:
http://healthcare.siemens.com/medical-imaging-it/syngo-special-topics/syngo-fastview
Установите программу на ПК и запустите ее.
Если ярлык программы отсутствует:
Откройте директорию с программой ..Siemenssyngo fastView.
Найдите файл syngo_fV.exe и запустите его.
После запуска программы откроется окно сообщения показанное ниже.
Нажмите «OK» и запустите syngo fastView.
Вставьте в дисковод ваш CD/DVD диск с медицинскими
изображениями
(DICOMDIR) исследуемого органа. После вставки CD/DVD syngo
fastView
автоматически покажет доступные DICOM данные в Patient
Browser (Пациент браузере).
Изначально будет выделен первый сверху значок. Выберите
нужные вам данные для исследования и дважды щелкните по соответствующему значку.
В главном окне отобразится одно изображение выбранных данных, а справа
отобразится процесс загрузки в программу файлов изображений.
После окончания процесса загрузки необходимых изображений
можно приступать к исследованиям. Вращайте колесо мыши и просматривайте последовательно
изображения выбранного вами набора данных.
Для просмотра доступных DICOM данных в главном окне щелкните
по кнопке «Open Study» (Открыть исследование).
Все наборы DICOM данных откроются в главном окне. Выбрав
соответствующий набор данных можно его просмотреть, вращая колесо мыши.
Двойной щелчок по сегменту открывает режим Blow Up
(Фотографического увеличения).
Другой двойной щелчок восстанавливает оригинальное
отображение.
Чтобы вернуться к дереву доступных DICOM данных в Пациент
браузере щелкните по соответствующему значку
справа
внизу в блоке «Patient»
или воспользуйтесь пунктом меню Patient/Open Patient Browser… (Ctrl+O).
Фото 7
С открытым диалоговым файлом другие изображения могут быть
загружены в Пациент Браузер. Для этого щелкните по значку справа
внизу в блоке «Patient»
или воспользуйтесь пунктом меню «Patient/Open File…».
Откроется Windows Microsoft Explorer и вы можете искать наборы данных
(DICOMDIR) на жестком диске или на других носителях.
Пациент браузер отображает различные исследования одного
пациента.
Правая кнопка мыши открывает контекстное меню.
Функция «Аppend» (Добавить) позволяет производить перекрестное
исследование
отображаемых изображений в syngo fastView.
Сравнение наборов данных возможно.
Функция «Interactive movie» (Интерактивное кино) позволяет
производить
вручную прокрутку изображений перемещая мышь, с регулировкой
скорости.
Регулировка скорости прокруткой колеса.
Для начала работы в режиме интерактивного кино справа внизу
войдите в блок Scroll (Прокрутка) и щелкните по соответствующему значку.
Либо войдите в пункт меню «Scroll/
Interactive movie».
Затем нажмите на левую кнопку мыши и перемещайте перекрестье
вертикально вверх и вниз.
Меню «Patient» (Пациент) обеспечивает возможность
преобразования данных DICOM в
другой формат файла, например, BMP, JPEG, AVI и
экспортировать их в систему файлов
Microsoft Windows. Чтобы сохранить выбранное DICOM изображение
в BMP, JPEG или AVI
формате войдите в меню «Patient» (Пациент) и выберите «Save
as…» (Сохранить как…) или «Save as AVI…» (Сохранить как AVI…).
Для быстрого перехода к меню «Save as…» (Сохранить как…) воспользуйтесь
значком
в
блоке «Patient» справа в низу.
Чтобы очистить программу от загруженных файлов щелкните по значку
в
блоке «Patient»
справа внизу, либо воспользуйтесь пунктом меню «Patient/Close
All».
Трехмерный 3D MPR режим позволяет осуществлять ортогональное
объемное представление
наборов данных. Предусмотрены синхронизированная прокрутка изображений
со справочными линиями через наборы данных, а также легкий переход от 2 D
просмотра в 3 D режим с помощью значка.
Для перехода в 3D MPR режим в блоке View (Просмотр) щелкните
по значку, либо
воспользуйтесь пунктом меню «View/3D
MPR». Выделите щелчком мыши интересующую вас плоскость и вращайте колесо мыши
для просмотра изображений в этой плоскости и синхронизированной прокрутки
справочных линий в других плоскостях. Двойной щелчок по сегменту открывает
режим Blow Up (Фотографического увеличения) только для выделенной плоскости.
Другой двойной щелчок восстанавливает оригинальное отображение.
Информация Dicom заголовка отображает полный заголовок Dicom
из выбранного набора данных.
С диалогом «КV attributes» (KV атрибуты) информация Dicom заголовка
для выбранного изображения отображается и будет обновляться во время прокрутки.
Для отображения информации Dicom заголовка войдите в меню
«Patient» (Пациент) и выберите «Dicom Header information» (Информация Dicom
заголовка). Для отображения KV атрибутов войдите в меню «Patient» (Пациент) и
выберите «КV Attributes» (KV атрибуты).
Легкие функциональные возможности печати с использованием
принтеров Windows
установленных в вашем ПК.
Для печати выбранного изображения щелкните справа в низу в
блоке «Patient» по значку
или воспользуйтесь пунктом меню «Patient/Print».
Фото 15
Нажмите «OK» и запустите syngo fastView.
Вставьте в дисковод ваш CD/DVD диск с медицинскими
изображениями
(DICOMDIR) исследуемого органа. После вставки CD/DVD syngo
fastView
автоматически покажет доступные DICOM данные в Patient
Browser (Пациент браузере).
Изначально будет выделен первый сверху значок. Выберите
нужные вам данные для исследования и дважды щелкните по соответствующему значку.
В главном окне отобразится одно изображение выбранных данных, а справа
отобразится процесс загрузки в программу файлов изображений.
После окончания процесса загрузки необходимых изображений
можно приступать к исследованиям. Вращайте колесо мыши и просматривайте последовательно
изображения выбранного вами набора данных.
Для просмотра доступных DICOM данных в главном окне щелкните
по кнопке «Open Study» (Открыть исследование).
Все наборы DICOM данных откроются в главном окне. Выбрав
соответствующий набор данных можно его просмотреть, вращая колесо мыши.
Двойной щелчок по сегменту открывает режим Blow Up
(Фотографического увеличения).
Другой двойной щелчок восстанавливает оригинальное
отображение.
Чтобы вернуться к дереву доступных DICOM данных в Пациент
браузере щелкните по соответствующему значку
справа
внизу в блоке «Patient»
или воспользуйтесь пунктом меню Patient/Open Patient Browser… (Ctrl+O).
Фото 7
С открытым диалоговым файлом другие изображения могут быть
загружены в Пациент Браузер. Для этого щелкните по значку справа
внизу в блоке «Patient»
или воспользуйтесь пунктом меню «Patient/Open File…».
Откроется Windows Microsoft Explorer и вы можете искать наборы данных
(DICOMDIR) на жестком диске или на других носителях.
Пациент браузер отображает различные исследования одного
пациента.
Правая кнопка мыши открывает контекстное меню.
Функция «Аppend» (Добавить) позволяет производить перекрестное
исследование
отображаемых изображений в syngo fastView.
Сравнение наборов данных возможно.
Функция «Interactive movie» (Интерактивное кино) позволяет
производить
вручную прокрутку изображений перемещая мышь, с регулировкой
скорости.
Регулировка скорости прокруткой колеса.
Для начала работы в режиме интерактивного кино справа внизу
войдите в блок Scroll (Прокрутка) и щелкните по соответствующему значку.
Либо войдите в пункт меню «Scroll/
Interactive movie».
Затем нажмите на левую кнопку мыши и перемещайте перекрестье
вертикально вверх и вниз.
Меню «Patient» (Пациент) обеспечивает возможность
преобразования данных DICOM в
другой формат файла, например, BMP, JPEG, AVI и
экспортировать их в систему файлов
Microsoft Windows. Чтобы сохранить выбранное DICOM изображение
в BMP, JPEG или AVI
формате войдите в меню «Patient» (Пациент) и выберите «Save
as…» (Сохранить как…) или «Save as AVI…» (Сохранить как AVI…).
Для быстрого перехода к меню «Save as…» (Сохранить как…) воспользуйтесь
значком
в
блоке «Patient» справа в низу.
Чтобы очистить программу от загруженных файлов щелкните по значку
в
блоке «Patient»
справа внизу, либо воспользуйтесь пунктом меню «Patient/Close
All».
Трехмерный 3D MPR режим позволяет осуществлять ортогональное
объемное представление
наборов данных. Предусмотрены синхронизированная прокрутка изображений
со справочными линиями через наборы данных, а также легкий переход от 2 D
просмотра в 3 D режим с помощью значка.
Для перехода в 3D MPR режим в блоке View (Просмотр) щелкните
по значку, либо
воспользуйтесь пунктом меню «View/3D
MPR». Выделите щелчком мыши интересующую вас плоскость и вращайте колесо мыши
для просмотра изображений в этой плоскости и синхронизированной прокрутки
справочных линий в других плоскостях. Двойной щелчок по сегменту открывает
режим Blow Up (Фотографического увеличения) только для выделенной плоскости.
Другой двойной щелчок восстанавливает оригинальное отображение.
Информация Dicom заголовка отображает полный заголовок Dicom
из выбранного набора данных.
С диалогом «КV attributes» (KV атрибуты) информация Dicom заголовка
для выбранного изображения отображается и будет обновляться во время прокрутки.
Для отображения информации Dicom заголовка войдите в меню
«Patient» (Пациент) и выберите «Dicom Header information» (Информация Dicom
заголовка). Для отображения KV атрибутов войдите в меню «Patient» (Пациент) и
выберите «КV Attributes» (KV атрибуты).
Легкие функциональные возможности печати с использованием
принтеров Windows
установленных в вашем ПК.
Для печати выбранного изображения щелкните справа в низу в
блоке «Patient» по значку
или воспользуйтесь пунктом меню «Patient/Print».
Фото 15
Получение изображений при КТ
В компьютерном томографе имеется трубка, вращающаяся вокруг объекта исследования, и ряды принимающих излучение датчиков.
- Трубка вращается около объекта, облучая его с точно заданными параметрами.
- Излучение воспринимается детекторами, проходя через объект и ослабляясь в разной степени.
- Измеряется коэффициент ослабления излучения в ряде точек.
- Данные математически обрабатываются и выводятся на экран в виде черно-белых изображений.
Для анализа изображений при компьютерной томографии разработана шкала Хаунсфилда — количественная оценка плотности в каждой точке. Чем больше значение, тем плотнее объект. Так газ имеет минимальную плотность, а металлы — наибольшую.
Для оценки структур, близких по плотности, была разработана система «окон»: «легочное», «мягкотканное», «костное». В первом хорошо различима легочная ткань, во втором — мягкотканные структуры (внутренние органы), в третьем — кости.
Познакомьтесь с главным окном программы Syngo fastView
Главное окно содержит следующие элементы: 1 — Главное меню 2 — Окно отображения изображения 3 — Информационное поле пациента 4 — Меню вкладок 5 — Строка состояния
Узнайте, как просматривать изображения DICOM через Syngo fastView
DICOM-файл в компьютерной томографии — это, чаще всего, не одно изображение, а серия последовательных сканов, которые во время исследования делает томограф. Количество сканов для каждого исследования может отличаться и зависит от специальных медико-диагностических протоколов.
Серии сканов загрузятся в ячейки окна браузера fastView Browser. Вы можете выбрать нужную серию, выделив ячейку с ней одним щелчком левой клавиши мыши (она подсветится синим контуром (1)), и увидеть в разделе Information (информация), сколько изображений содержится в данной серии (2):
Теперь можно открыть серию из любой ячейки, щелкнув по ней дважды левой клавиши мыши.
Дождитесь полной загрузки. Изображения в КТ-исследованиях делаются в высоком разрешении, поэтому файлы имеют большой объем. Это влияет на скорость загрузки. В зависимости от количества изображений в серии, загрузка может занять от нескольких секунд до нескольких минут. На состояние загрузки указывает параметр «Loading» (Загрузка), расположенный над Меню вкладок — визуальная шкала загрузки и количество загруженных и оставшихся изображений в серии:
Когда загрузка завершится, результат будет представлять собой непрерывную последовательность посрезовых томограмм загруженной серии. Вращайте колесико мыши вперед или назад в режиме просмотра, чтобы увидеть все изображения. При плавной прокрутке такая последовательность выглядит как видеофильм:
В программе по умолчанию выбран режим просмотра одной серии изображений в одном окне. Если данный режим не активирован, нажмите на вкладку с надписью «View» (Просмотр) в Меню вкладок и выберите верхнюю левую иконку, изображающую одну голову в квадратной рамке:
Чтобы вернуться в fastView Browser
и открыть другое исследование:
1) кликните на иконку с тремя папками в разделе «Patient» в Меню вкладок:
2) или нажмите «Patient» в Главном меню, далее выберите «Open Patient Browser»:
3) или нажмите на клавиатуре Ctrl + O (Латинская буква О)
Если вы планируете возвращаться к просмотру одних и тех же серий, загруженных на диск или флешку, лучше открыть в Syngo fastView все снимки сразу. Для этого откройте fastView Browser и нажмите на кнопку «Open Study» (Открыть исследование):
Чтобы загрузились все изображения, может потребоваться более десяти минут. Прогресс загрузки будет виден в загрузочной строке над Меню вкладок:
После загрузки вы увидите все серии изображений в прямоугольных ячейках в Окне отображения изображения:
Загружайте полноразмерные изображения для просмотра
Теперь выберите ячейку с нужной серией и дважды щелкните по ней левой клавишей мыши. Двойной щелчок мыши активирует режим «Blow Up» (Увеличить) — все изображения серии откроются в Окне отображения изображения. Просматривайте их, вращая колесо мыши.
При просмотре изображений любой серии, в верхнем правом углу Окна отображения изображения будут два треугольника, составляющих квадрат. Если оба треугольника черные — на экране первое изображение серии:
Если оба треугольника светло-серые — это последнее изображение серии:
Если один из треугольников серый, а другой черный — это изображения внутри серии:
Если вы долистаете до конца все изображения одной серии и продолжить вращать колесо мыши, то автоматически перейдете к просмотру изображений следующей серии, если только эта серия не последняя во всем исследовании.
Выйти из режима «Blow Up» можно также двойным щелчком мыши внутри Окна отображения изображения — так вы вернетесь к возможности выбрать изображения другой серии, не дожидаясь их повторной загрузки:
Носители для записи
Файлы можно записать на любой носитель — DVD, CD, компактный накопитель и другие. Диск для КТ, МРТ, рентгенографии и т.д. ничем не отличается от дисков для записи музыки и фильмов. Его можно купить в любом магазине цифровой техники.
- Небольшие по объему исследования, такие как КТ головного мозга, придаточных пазух занимают 50-300 Мбайт и могут быть записаны на CD.
- Исследования с контрастным усилением в несколько фаз (живота, легких) получаются больше — до гигабайта, их записывают на DVD.
- Выбирайте диск большего объема, т.к. разница в цене незначительна.
Во многих клиниках имеется услуга отправки данных на электронную почту или в облачное хранилище.
Уточните, нужно ли покупать диск. Во многих клиниках он уже включен в стоимость.
Формат файлов
Данные записываются в формате DICOM.
- Файлы DICOM содержат информацию о пациенте, исследовании, серии обследований, отдельные изображения (сканы).
- Файл можно открыть любой программой для просмотра DICOM, например, eFilm.
- В формате DICOM записываются МРТ, КТ, КЛКТ, рентгеновский снимок.
Данный формат позволяет проводить угловые и линейные измерения, изменять яркость, контрастность. Исходные данные, полученные при томографии, используются:
- для реформатирования изображений в различных плоскостях;
- трехмерных реконструкций.
Запись МРТ на пленку
С развитием медицины и оборудования, практически все соответствующие учреждения оснащены компьютерами. Поэтому большинство врачей предпочитают просмотр результатов магнитно-резонансной томографии с электронного носителя.
Анализ и расшифровка данных
Анализ данных осуществляет врач-рентгенолог, проводивший исследование. В случае сложной патологии анализ осуществляется коллегиально несколькими врачами.
Так как полученные данные являются цифровыми, для их расшифровки возможно привлечение удаленных специалистов, находящихся в любой точке мира.
Существуют сервисы для повторного анализа рентгенограмм (второе мнение рентгенолога).
- Чтобы получить точное второе мнение, нужно предоставить врачу как можно больше существенной информации.
- Необходимо отправить данные в формате DICOM, предыдущее заключение, результаты других исследований — инструментальных, лабораторных, клинических.
- Второе мнение рентгенолога — услуга платная. Стоимость зависит от типа исследования (при анализе рентгенографии и ПЭТ/КТ отличается в десятки раз).
Расшифровка данных врачом
- Расшифровка и выдача заключения осуществляется рентгенологом или радиологом. Доктор для осуществления своей деятельности должен иметь сертификат.
- Заключения других специалистов (пульмонологов, травматологов) по рентгеновским снимкам, КТ, МРТ юридической силы не имеют.
- Доктора иных специальностей учитывают данные рентгеновских методов, но заключение выдает только рентгенолог.
Внимание: право выдавать заключение имеет только сертифицированный рентгенолог.
Как посмотреть исследование дома
Чаще всего на диск с результатами исследования записывается программа для просмотра, автоматически устанавливающаяся при его открытии. Если она отсутствует, можно использовать сторонние программы, например, eFilm (платная) или RadiAnt DICOM Viewer.
- Необходимо вставить носитель информации в дисковод, выбрать пункт «установить с диска» и ждать завершения. Дальнейшие действия зависят от интерфейса программы.
- Выбрать серию изображений, если на диске их несколько, например, голова и живот. Откроется окно с аксиальными изображениями, которые можно «листать» вверх (к голове) и вниз (к ногам).
Часто открывается несколько окон с аксиальными, корональными, и сагиттальными изображениями, связанные вместе.
Открыть диск с исходными данными несложно. Для этого не нужно специальных знаний и навыков. Гораздо сложнее понять, что действительно там записано.
Какой диск нужен для КТ?
Пациенты хотят знать, как посмотреть диск дома и возможно ли распечатать снимок КТ с диска? Благодаря широкому распространению компьютерной технологий сделать это можно без проблем.
Чтобы посмотреть снимки после процедуры можно попросить врачей скачать информацию на обычный компьютерный носитель: Blu-ray Disc (BD), DVD и другие. Диск следует принести с собой, но многие пациенты предпочитают доверяют более современным устройствам для записи — флеш-картам. На всех носителях картинка КТ выглядит одинаково.
Как открыть результаты КТ дома?
Чтобы запись открылась, необходимо, чтобы компьютер был оборудован специальной программой — оптимальной считается CS 3D Imaging, установленная в компьютере с управлением программ Vista, 7, 8, ОС Windows XP.
Процессор домашнего устройства должен быть не ниже Intel Core 2 — Duo 2 ГГц, объем оперативной памяти до 2 Гб. Можно использовать видео-карту 512 Мб. Все сканы хорошо видно на мониторе с поддерживающим разрешением 1280×960.
Пациент может сам увидеть на готовом снимке очаг патологии. Новообразование по цвету и структуре отличается от здоровых тканей, что влияет на отражение рентгеновских лучей. На снимке можно видеть ассиметричные пятна, оценить их размеры и расположение относительно здоровых органических структур.
Метастазы на снимке напоминают разбросанные хаотично точки, здоровые ткани однородные по структуре и границы органов симметричны.
Но самостоятельно оценить опасность заболевания и необходимую стратегию лечения пациент вряд ли сможет, даже сопоставляя свои данные и примеры описаний в интернете. Ведь опасность представляют не столько сами метастазы и даже их количество, а их расположение в организме, и оценить клиническую картину под силу только опытному специалисту.
Компьютерная томография бронхов и лёгких, суть диагностики, показания и вред
Switch to English регистрация. Телефон или email. Чужой компьютер. Лучевая диагностика сегодня.
Просмотр полной версии : Какой должна быть запись на диск результатов МРТ. Не знаю, в том ли разделе я задаю вопрос, извиняюсь, если не в том,но я собираюсь идти в общество по защите прав потребителей и хочу точно знать, права ли я. Ситуация следующая: прихожу делать мрт позвоночника в платную клинику, без направления, потому что лечащий врач сама им звонила и сказала, что ей надо. Говорю им только, что сказали делать с контрастом. У меня есть некоторая клаустрофобия.
Заболевания лёгких на сегодня являются одними из самых распространённых и опасных. Причина такой ужасающей статистики — загрязнённая экологическая среда. Главным фактором лечения заболеваний является своевременная диагностика патологических процессов. Одним из самых точных исследований является компьютерная томография лёгких.
Где распечатать снимок МРТ с диска?
В редких случаях, но всё-таки такое возможно, доктор может попросить Вас предоставить распечатанные снимки МРТ, а сделать это не так уж просто, т.к. мы говорили выше, информация записывается в специальном формате и открывается при помощи специальной программы. Идеальный вариант, если Вы обратитесь в тот центр, где проводили МРТ и попросите распечатать изображения, с высокой вероятностью, у них такая возможность имеется. Распечатывать такие снимки лучше на пленку при помощи лазерного принтера, в худшем случае на бумагу, но качество сильно теряется. Поэтому в любом случае, это придется делать в специальных медицинских центрах.
Работайте со вкладкой «Image»: изменяйте размер и положение изображения, как вам удобно
Еще во вкладке «Image» вы найдете такие инструменты для работы с изображениями: 1 — Pan — Перемещение (Панорамирование) 2 — Zoom — Масштабирование 3 — Magnify by 1.25 — Увеличение до 125% 4 — Magnify by 0.8 — Уменьшение до 80% 5 — Home View — Просмотр по умолчанию
При нажатии на иконку «Magnify by 1.25» (3), изображение будет увеличиваться на 125% от предыдущего значения. Увеличивать картинку можно лишь до определенного предела.
Если увеличенное изображение выходит за пределы видимой области, передвигайте его, чтобы увидеть все части. Для этого используйте инструмент перемещения — нажмите на иконку «Pan». Обратите внимание — курсор изменит вид со стрелки на руку:
Зажмите левую клавишу мыши и перетаскивайте изображение по экрану в любом направлении. Передвигать можно не только увеличенное, но и любого другого размера изображение.
Чтобы уменьшить изображение, нажмите на иконку «Magnify by 0.8» (4) столько раз, сколько необходимо — при каждом нажатии изображение будет уменьшаться до 80% от предыдущего значения.
Еще быстро увеличивать и уменьшать изображения можно при помощи инструмента масштабирования. Для этого нажмите на иконку «Zoom» (2), зажмите левую клавишу мыши и двигайте курсор вверх и вниз в Окне отображения изображения. При движении курсора вверх картинка будет увеличиваться, при движении вниз — уменьшаться.
Чтобы привести изображение к исходному виду после применения любой из функций изменения размера, нажмите иконку с домиком (5):
Зажмите левую клавишу мыши и перетаскивайте изображение по экрану в любом направлении. Передвигать можно не только увеличенное изображение, но и любого другого размера.
Чтобы уменьшить изображение, нажмите на иконку «Magnify by 0.8» (4) столько раз, сколько необходимо — при каждом нажатии изображение будет уменьшаться до 80% от предыдущего значения.
Еще быстро увеличивать и уменьшать изображения можно при помощи инструмента масштабирования. Для этого нажмите на иконку «Zoom» (2), зажмите левую клавишу мыши и двигайте курсор вверх и вниз в Окне отображения изображения. При движении курсора вверх изображение будет увеличиваться, при движении вниз — уменьшаться.
Чтобы привести изображение к исходному виду после применения любой из функций изменения размера, нажмите иконку с домиком (5):
Сохраняйте DICOM-изображения в удобном формате
С помощью Syngo fastView вы можете сохранять изображения из файлов DICOM в другие, более привычных форматах: JPEG (обычное изображение) или BMP (точечный рисунок). Для этого выберите в главном меню вкладку «Patient», а в ней пункт «Save as…» (Сохранить как):
Во всплывающем окне выберите тип файла в выпадающем меню (JPEG или Bitmap (BMP)), выберите папку на компьютере, в которую будет сохранено изображение, нажмите «Сохранить»:
Изображение сохранится со служебной информацией. Чтобы сохранить только картинку, без данных на ней, перед сохранением нажмите на иконку «Show/Hide Image Text» см. пункт «Скрывайте служебную информация на изображении»
Вы получили Ваши результаты МРТ / СКТ диагностики на электронном носителе — CD / DVD диске. На диске записаны две папки, а именно: Папка DICOM — все результаты Вашего обследования. Папка eFilmLite — специальная программа, которая поможет открыть файлы с результатами Вашего обследования.
! Если после запуска диска на компьютере ничего не случается, есть вероятность того, что настройки Вашего компьютера не позволяют автоматический запуск файлов. В таком случае, Вам необходимо запустить программу самостоятельно. Для этого выберите папку eFilmLite и откройте файл eFilmLt.exe (иконка в виде буквы «М» голубого цвета).
!! Если программа eFilmLite не запускается, то возможно существует конфликт Вашей операционной системы с данной программой. В этом случае, следует применить специальные программы для просмотра файлов формата DICOM, Такими программами является E-Film, VewForum, Radiant, Vitrea и другие.
Чем открыть компьютерную томографию?
Syngo fastView — удобная программа для просмотра КТ изображений (файлов DICOM) на вашем компьютере, разработанная компанией Siemens. Она предназначена для просмотра файлов исследований пациентами, поэтому адаптирована для обычных пользователей. Программа позволяет просматривать посрезовые томограммы внутренних органов, костей, сосудов.
- DICOM — это специальный формат изображений КТ, МРТ, УЗИ и некоторых других медицинских обследований.
- Название DICOM расшифровывается как Digital Imaging and Communications in Medicine, что переводится как «Цифровая визуализация и связь в медицине».
- Такие изображения содержат много дополнительной информации, поэтому их нельзя открыть на компьютере встроенными в ОС просмотрщиками, как обычные файлы изображений — JPEG, JPG или PNG.
DICOM — это специальный формат изображений КТ, МРТ, УЗИ и некоторых других медицинских обследований. Название DICOM расшифровывается как Digital Imaging and Communications in Medicine, что переводится как «Цифровая визуализация и связь в медицине». Такие изображения содержат много дополнительной информации, поэтому их нельзя открыть на компьютере встроенными в ОС просмотрщиками, как обычные файлы изображений — JPEG, JPG или PNG. В программе есть встроенные инструменты : мультипланарная реконструкция (режим для просмотра изображения сразу в трех проекциях), линейка для измерения расстояния между объектами на изображении, предустановленные фильтры для лучшей визуализации деталей.
Из подробной инструкции в этой статье вы узнаете, как открывать и просматривать КТ-изображения DICOM через Syngo fastView, если вы пользователь операционной системы Windows. * * Если у вас другая операционная система, самостоятельно скачайте подходящую бесплатную программу для просмотра DICOM-файлов.
Например: OsiriX DICOM Viewer для Mac OS, Amide и Aeskulap Viewer для Linux. О возможностях выбранной вами программы читайте на сайте разработчика. На данный момент программа Syngo fastView не переведена на русский язык, но благодаря этой инструкции знание английского языка для успешного использования Syngo fastView не понадобится.
В каком формате снимки мрт?
Все изображения, полученные в ходе МР-томографии, записываются на CD либо DVD-диск в формате DICOM.
Можно ли записать МРТ на флешку?
Виды и стоимость —
| Услуга | Стоимость, руб. | Акция в центре на Мусы Джалиля |
|---|---|---|
| Запись исследования на USB-носитель | 700 руб. | 700 руб. |
Указанные на сайте цены не являются публичной офертой (согласно ст.435-437 ГК РФ). Точную стоимость исследований и дополнительных услуг вы можете узнать у администраторов наших центров МРТ по телефонам, указанным на сайте, или через форму обратной связи.
- В Московском центре МРТ проводится точная визуализационная диагностика на современном оборудовании.
- Результаты обследования можно записать на флеш-накопитель.
- Это позволяет с удобством хранить материалы МРТ и при необходимости распечатывать их или предъявлять лечащему специалисту в электронном виде.
- Центр предлагает широкий список исследований, которые позволяют установить точную картину течения болезни, определить аномалии развития или же убедиться в отсутствии патологий.
Магнитно-резонансная томография позволяет с высокой детализацией изучить строение и функционирование:
головного мозга; гипофиза; глазных орбит; артерий и вен головного мозга; сосудов шеи; всех отделов позвоночника; суставов верхних и нижних конечностей; мягких тканей; молочных желез; печени и желчевыводящих путей; почек, мочевого пузыря; селезенки; половой системы; щитовидной железы.
Запись на USB-носитель — это удобный способ сохранения снимков МРТ. Программное обеспечение позволяет просматривать, сортировать, масштабировать изображения. Цифровые снимки не теряются, не изнашиваются, могут храниться долго и не занимают место (в отличие от распечатанных).
Сегодня использование флеш-накопителей является более распространенной практикой, чем применение компакт-дисков. Большинство современных ПК даже выпускаются без дисководов, но при этом они имеют несколько USB-портов. Лечащему врачу не приходится искать более старые модели компьютера, чтобы просмотреть или распечатать информацию по Вашей МРТ.
Данные с USB-носителя можно отправлять по электронной почте, например, для получения консультации специалиста из другого города. Диски могут поцарапаться при неаккуратном обращении, в результате информация может стать недоступной. Флеш-накопители исключают этот риск.
Как скачать файл с диска МРТ?
Итак, Вы получили CD с изображениями и вставили его в дисковод. Выполните следующий алгоритм действий: —
- Создайте на рабочем столе папку, назовите ее «MRI».
- Скопируйте в новую папку все файлы с диска.
- Щелкните правой кнопкой мыши по папке «MRI», в выпадающем меню выберите «Добавить в архив». Если такой строки нет, Вам следует установить одну из программ-архиваторов. После того как Вы заархивировали снимки, они появятся на рабочем столе под тем же названием «MRI». Кстати, такая операция никак не повлияет на качество снимков.
- Если Ваша электронная почта зарегистрирована на таких сервисах, как Mail.ru или «Яндекс», то Вы без труда сможете добавить архив в письмо. Для этого выберите «Написать новое письмо» и нажмите «Прикрепить файлы». Если платформа Вашей электронной почты не позволяет загрузить необходимый объем информации, воспользуйтесь услугами любого бесплатного сервиса, позволяющего хранить и передавать файлы (например, популярными файлообменниками считаются «Яндекс.Диск», Google Drive, DropBox). Как только архив загрузится, скопируйте полученную ссылку.
- Если Ваша электронная почта зарегистрирована на платформе Mail.ru или «Яндекс», ссылка на архив будет автоматически прикреплена к Вашему письму. Если Вы использовали файлообменник, самостоятельно добавьте предоставленную им ссылку в письмо к врачу.
- Ваш лечащий врач должен будет скачать файл и разархивировать его.
Готово! Предложенный алгоритм, на наш взгляд, не должен вызвать затруднений. Однако, если у Вас появятся вопросы или комментарии, Вы всегда можете написать нам на электронный адрес – contact@mrtspb.ru, и мы рассмотрим Вашу заявку с 10:00 до 18:00 в будние дни. Желаем удачи! Читайте также: как пользоваться программой для просмотра МРТ-снимков eFilm,
Что на диске с МРТ?
Запись снимков на CD — В последнее время все чаще центры МРТ предлагают услугу записи снимков на CD – на наш взгляд, этот способ удобен. Ведь на CD-диск записывается вся информация, полученная в ходе магнитно-резонансной томографии. Она касается как основной зоны исследования, так и примыкающих к ней областей. Это позволяет лечащему врачу самостоятельно выбирать необходимые ему снимки. Кроме того, на случай, если не удастся открыть диск самостоятельно, в нашей клинике к нему прилагается подробная инструкция, Особенно важно записывать МРТ-снимки на диск при онкологическом заболевании или подозрении на него, поскольку для постановки диагноза и назначения эффективного лечения лечащему врачу нужна комплексная картина исследования.
Запись на диск позволяет врачу оценить в полной мере локализацию опухоли и ее взаимодействие с окружающими тканями. Следовательно, при диагностике онкозаболеваний цифровой носитель является оптимальным способом записи изображений. Некоторые исследования содержат от 1500 до 2500 изображений (брюшная полость, малый таз), так что запись на диск гораздо более информативна.
При записи снимков молочных желез получается порядка 2500 снимков, поэтому вместимость диска должна быть достаточно большой — по этой причине такие исследования записываются не на CD, а на DVD.
Как открыть диск со снимком?
Программы для открытия файлов КТ и МРТ — Чтобы открыть снимки с CD диска, Вам понадобится специальная программа — DICOM-вьюер. Таких программ много, платных и бесплатных. Самая удобная из бесплатных программ — Radiant DICOM Viewer, Скачать ее можно здесь,
- Эта программа умеет открывать совершенно любые медицинские снимки в формате DICOM, например МРТ, КТ, ПЭТ-КТ, рентген, маммографию, ангиографию и т.д.
- Чтобы открыть снимки программой Radiant, нужно скопировать все содержимое диска в папку на компьютере, затем зайти в программу, нажать в левом верхнем углу кнопку Scan folder for DICOM files и выбрать эту папку.
Подробнее про работу программы можно почитать здесь, Лучшая из программ для MAC-OS — это Osirix, Скачать бесплатную версию для настольного компьютера можно здесь, Версия Osirix для iPhone и iPad продается в Apple Store или здесь, Часто МРТ или КТ записывается на диск уже с программой-вьюером. В таком случае не нужно отключать автозапуск на своем компьютере, и программа просмотра запустится автоматически.
К недостатку таких программ относится то, что ими, как правило, не очень удобно пользоваться. Поэтому советуем Вам все же установить Radiant, Помните, что даже идеально выполненное исследование не исключает врачебной ошибки, ведь достоверность диагностики напрямую зависит от умения врача расшифровать снимки.
Поэтому при сомнениях в диагнозе врачи рекомендуют получить Второе мнение — расшифровку МРТ или КТ у рентгенолога экспертного уровня с целью подтверждения или опровержения диагноза, а также более точного и детального описания снимков. В России действует Национальная телерадиологическая сеть — служба дистанционных консультаций, с помощью которой любой человек может обратиться к ведущим диагностам из Москвы или Санкт-Петербурга, отправить им файлы исследования и получить квалифицированное описание. Кандидат медицинских наук, член Европейского общества радиологов Опубликовано: 10 апреля 2016, Автор: Павел Попов
Чем открыть файл DICOM онлайн?
Что такое DICOM-файл или DICOM-изображение? — DICOM ( Digital Imaging and Communications in Medicine ) ― международный стандарт, позволяющий обрабатывать и хранить данные медицинских изображений. DICOM-файл состоит из заголовка и последовательности данных.
- Информация о пациенте, содержащаяся в заголовке, носит постоянный и стандартизованный характер.
- К сожалению, формат DICOM не распознается операционными системами (Windows, Mac), поэтому необходимо использовать DICOM-вьюер, который будет интерпретировать данные файла и отображать их в виде изображения,
Мы подобрали только онлайн-программы DICOM Viewer, поскольку это решение позволит избежать установки программного обеспечения на настольный компьютер и, безусловно, сэкономить время специалистам в области здравоохранения. Особенно актуально, когда врачи находятся вне стационарного рабочего места.
Общая характеристика : DICOM Library ― бесплатный онлайн-сервис с расширенными функциями, позволяющий обмениваться, просматривать и анализировать DICOM-файлы. DICOM Library поддерживает различные типы медицинских изображений в формате DICOM и PACS-системы. Также имеется возможность удаления информации о пациенте. Отличия: особенные функции, включая разные способы визуализации, увеличение и уменьшение масштаба, регулирование окна, лупу, измерение и рисование. Более того, программа совместима с сенсорными экранами и позволяет легко обмениваться информацией. Техническая поддержка доступна на нескольких языках.
⚠ Загрузить изображения в частную PACS-систему (конфиденциальность не гарантируется) ⚠ Вы не можете загрузить сразу всю папку Рекомендации:
Анонимный обмен DICOM-изображениями Просмотр DICOM-изображений, которые будут размещены на сайте, блоге или форуме
IMAIOS DICOM Viewer
- Общая характеристика : IMAIOS DICOM Viewer ― абсолютно бесплатная онлайн-программа. Удобный и понятный интерфейс: чтобы открыть файл, достаточно перетянуть его в область «Drag & Drop». IDV поддерживает все типы DICOM-файлов и предоставляет инструменты для прокрутки, обработки изображений и мультипланарной реконструкции (MPR). IMAIOS предлагает также базу данных клинических случаев (e-Cases), которая пополняется пользователями, что делает программу идеальным учебным инструментом. Отличия: не требуется регистрация, загруженные данные не передаются в интернет, что гарантирует безопасность и конфиденциальность. Плавный и быстрый переход при прокрутке изображений. Отличные функциональные возможности: «Drag & Drop» и обработка изображений (изменение масштаба, прокрутка, регулирование окна, измерение).
- Эта программа умеет открывать совершенно любые медицинские снимки в формате DICOM, например МРТ, КТ, ПЭТ-КТ, рентген, маммографию, ангиографию и т.д.
- Чтобы открыть снимки программой Radiant, нужно скопировать все содержимое диска в папку на компьютере, затем зайти в программу, нажать в левом верхнем углу кнопку Scan folder for DICOM files и выбрать эту папку.
- К недостатку таких программ относится то, что ими, как правило, не очень удобно пользоваться.
- Поэтому советуем Вам все же установить Radiant,
- Помните, что даже идеально выполненное исследование не исключает врачебной ошибки, ведь достоверность диагностики напрямую зависит от умения врача расшифровать снимки.
- Информация о пациенте, содержащаяся в заголовке, носит постоянный и стандартизованный характер.
- К сожалению, формат DICOM не распознается операционными системами (Windows, Mac), поэтому необходимо использовать DICOM-вьюер, который будет интерпретировать данные файла и отображать их в виде изображения,
Какой диск нужен для записи КТ CD или DVD?
Небольшой объем информации записывают на CD -R, CD -RW носители. Если количество снимков превышает 1500 лучше использовать DVD -R, DVD -RW накопители, отличающиеся большей вместимостью.
Как открыть КТ с флешки?
Если вы получили результаты КТ на флешке — Если вы получили результаты КТ-диагностики, записанные на флешку, вставьте ее в свободный USB-порт на вашем компьютере. Чаще всего флешка определяется и открывается автоматически. Вы увидите папку с названием «1». Затем на рабочем столе щелкните на любом свободном от файлов месте правой клавишей мыши и выберите пункт меню «Вставить»: Начнется копирование файлов в созданную папку. Дождитесь, когда копирование завершится. Зайдите в папку, проверьте, что все файлы скопированы.
Какой программой открыть рентгеновский снимок?
Программы для открытия файлов КТ и МРТ — Чтобы открыть снимки с CD диска, Вам понадобится специальная программа — DICOM-вьюер. Таких программ много, платных и бесплатных. Самая удобная из бесплатных программ — Radiant DICOM Viewer, Скачать ее можно здесь,
Подробнее про работу программы можно почитать здесь, Лучшая из программ для MAC-OS — это Osirix, Скачать бесплатную версию для настольного компьютера можно здесь, Версия Osirix для iPhone и iPad продается в Apple Store или здесь, Часто МРТ или КТ записывается на диск уже с программой-вьюером. В таком случае не нужно отключать автозапуск на своем компьютере, и программа просмотра запустится автоматически.
Поэтому при сомнениях в диагнозе врачи рекомендуют получить Второе мнение — расшифровку МРТ или КТ у рентгенолога экспертного уровня с целью подтверждения или опровержения диагноза, а также более точного и детального описания снимков. В России действует Национальная телерадиологическая сеть — служба дистанционных консультаций, с помощью которой любой человек может обратиться к ведущим диагностам из Москвы или Санкт-Петербурга, отправить им файлы исследования и получить квалифицированное описание. Кандидат медицинских наук, член Европейского общества радиологов Опубликовано: 10 апреля 2016, Автор: Павел Попов
Чем открыть файл DICOM онлайн?
Что такое DICOM-файл или DICOM-изображение? — DICOM ( Digital Imaging and Communications in Medicine ) ― международный стандарт, позволяющий обрабатывать и хранить данные медицинских изображений. DICOM-файл состоит из заголовка и последовательности данных.
Мы подобрали только онлайн-программы DICOM Viewer, поскольку это решение позволит избежать установки программного обеспечения на настольный компьютер и, безусловно, сэкономить время специалистам в области здравоохранения. Особенно актуально, когда врачи находятся вне стационарного рабочего места.
Общая характеристика : DICOM Library ― бесплатный онлайн-сервис с расширенными функциями, позволяющий обмениваться, просматривать и анализировать DICOM-файлы. DICOM Library поддерживает различные типы медицинских изображений в формате DICOM и PACS-системы. Также имеется возможность удаления информации о пациенте. Отличия: особенные функции, включая разные способы визуализации, увеличение и уменьшение масштаба, регулирование окна, лупу, измерение и рисование. Более того, программа совместима с сенсорными экранами и позволяет легко обмениваться информацией. Техническая поддержка доступна на нескольких языках.
⚠ Загрузить изображения в частную PACS-систему (конфиденциальность не гарантируется) ⚠ Вы не можете загрузить сразу всю папку Рекомендации:
Анонимный обмен DICOM-изображениями Просмотр DICOM-изображений, которые будут размещены на сайте, блоге или форуме
IMAIOS DICOM Viewer
- Общая характеристика : IMAIOS DICOM Viewer ― абсолютно бесплатная онлайн-программа. Удобный и понятный интерфейс: чтобы открыть файл, достаточно перетянуть его в область «Drag & Drop». IDV поддерживает все типы DICOM-файлов и предоставляет инструменты для прокрутки, обработки изображений и мультипланарной реконструкции (MPR). IMAIOS предлагает также базу данных клинических случаев (e-Cases), которая пополняется пользователями, что делает программу идеальным учебным инструментом. Отличия: не требуется регистрация, загруженные данные не передаются в интернет, что гарантирует безопасность и конфиденциальность. Плавный и быстрый переход при прокрутке изображений. Отличные функциональные возможности: «Drag & Drop» и обработка изображений (изменение масштаба, прокрутка, регулирование окна, измерение).
Сколько стоит открыть кабинет мрт?
Затраты и прибыль — При запуске кабинета МРТ и КТ не обойтись без кредита — 40 млн 240 тысяч рублей. При потоке от 20 человек в день и минимальной стоимости исследования в 3 тысячи рублей, даже при пятидневной рабочей неделе выручка будет составлять порядка 2 млн рублей. С учетом текущих обязательств выйти на окупаемость получится за 2 года. Ожидаемая прибыль — 1,5 млн рублей ежемесячно.






























































































































